- Чи можна з вітрянкою виходити на вулицю?
- Що таке вітрянка?
- Симптоми та перебіг хвороби
- Чому виходити на вулицю з вітрянкою — погана ідея
- Ризики під час виходу на вулицю
- Як полегшити перебіг хвороби вдома
- Заспокій що дратує
- Правильне харчування
- Дотримуйся гігієни
- Міфи та правда про вітрянку
- Міф: Вітрянка — це завжди легко
- Міф: Щеплення — це надмірність
- Міф: Хворіють тільки діти
- Коли знову на вулицю?
Чи можна з вітрянкою виходити на вулицю?
Отаке, друзі, просте питання, чи можна з вітрянкою виходити на вулицю, на перший погляд здається банальним. Заразилися й нічого страшного, правда? Але не все так просто. Вітрянка — це підступна хвороба з особливим стилем поширення.
Що таке вітрянка?
Вітрянка, або як її ще називають, вітряна віспа, — класична дитяча хвороба. Вона викликається вірусом varicella-zoster — чув коли-небудь про таке? Цей малюк полюбляє бешкетувати серед малечі. Але й дорослим він іноді вирішує зіпсувати настрій.
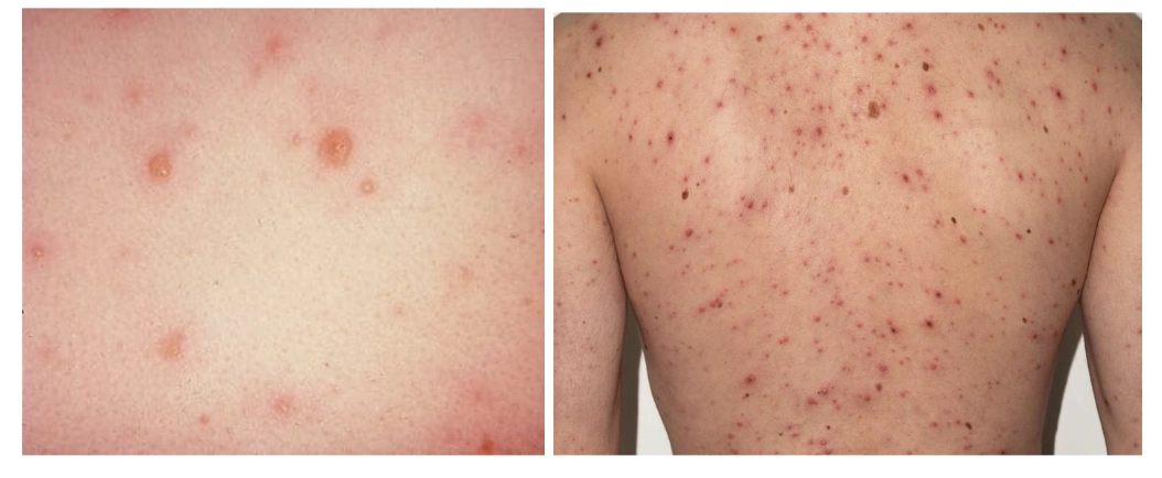
Симптоми та перебіг хвороби
- спочатку легка лихоманка
- висип, який швидко перетворюється на пухирці
- свербіж, бажання почухатися до несхочу
- загальне нездужання: можуть боліти м’язи, суглоби
Важливо, що карантин при вітрянці може тривати до двох тижнів. Малоймовірно, що захочеш виходити назовні, коли свербіж не дає спокою навіть уночі.
Чому виходити на вулицю з вітрянкою — погана ідея
Ну, по-перше, ти можеш заразити інших. Вітрянка легко передається повітряно-крапельним шляхом. Пам’ятаєш, як у дитинстві казали: Вітрянкою краще перехворіти малим? Бо дорослим ця інфекція приносить значно більше клопоту.
Ризики під час виходу на вулицю
- Карантин: ти не повинен нехтувати правилами. Не тільки для себе, а й для всіх навколо.
- Ускладнення: вітрянка може перерости в щось серйозніше. Наприклад, пневмонію.
- Стигма: навіть якщо ти відважний і натхнений порушити карантин, не всі оточуючі це оцінять.
Так що, на мій погляд, краще зачекати вдома. Ще кілька днів — і ти знову зможеш без проблем кудись ходити.
Як полегшити перебіг хвороби вдома
Чесно, сидіти вдома з температурою та свербежем — це ще те випробування. Але ось декілька простих порад, які можуть допомогти:
Заспокій що дратує
- Холодні компреси: допомагають зняти свербіж.
- Ванни з содою: додавай соду у воду, це працює.
- Антигістамінні препарати: вони допоможуть запобігти свербіж і набряк.
Правильне харчування
Їж легку їжу. Багато вітамінів, супчики й трохи любові. Твоя імунна система дякуватиме.
Дотримуйся гігієни
Регулярний душ не зашкодить, навіть якщо боїшся розчесати висип. Головне — обережність.
Міфи та правда про вітрянку
Чесно, навколо вітрянки витає купа міфів. Давайте розберемо кілька з них.
Міф: Вітрянка — це завжди легко
Не завжди. Для декого це справжнє випробування. Іноді хвороба може стати агресивною.
Міф: Щеплення — це надмірність
Хто це вигадує? Вакцина реально зменшує ризик серйозних ускладнень.
Міф: Хворіють тільки діти
Це вже й зовсім неправда. І дорослі отримують свою порцію задоволення, тільки більш ніжно.
Коли знову на вулицю?
Зазвичай відлік починається з моменту останнього висипу. Декілька днів без нових пухирців — і ти вільний як вітер. Але краще проконсультуватися з лікарем.
Сподіваюсь, ця інформація допоможе тобі пережити вітрянкову пригоду. Навіть якщо захворів, ти не самотній, друже. Бережи себе і оточуючих. Вітер ще чекатиме на тебе.












