
Що таке корінцевий синдром поперекового відділу хребта?
Корінцевий синдром поперекового відділу хребта, про який часто можна почути під назвою радикулопатія, — це стан, коли нервові корінці, що відходять від спинного мозку, стискаються або подразнюються. Зазвичай він проявляється болем, слабкістю або онімінням у певних частинах нижньої частини тіла. Це може бути результатом різних причин, таких як грижа міжхребцевого диска або остеохондроз.
Основні симптоми корінцевого синдрому


Здається, що головна проблема — це біль. Та часто приєднуються інші симптоми:
- Оніміння: Втрата чутливості може відчуватися в ногах або пальцях.
- Слабкість: Ви можете відчувати, що важко підняти ногу або ступати на неї.
- Тягучий біль: Біль, що «тягне», зазвичай поширюється від спини до сідниць або навіть до ніг.
- Поколювання: Відчуття, мов би хтось вколює голкою, особливо під час інших фізичних навантажень.
Діагностика та причини корінцевого синдрому
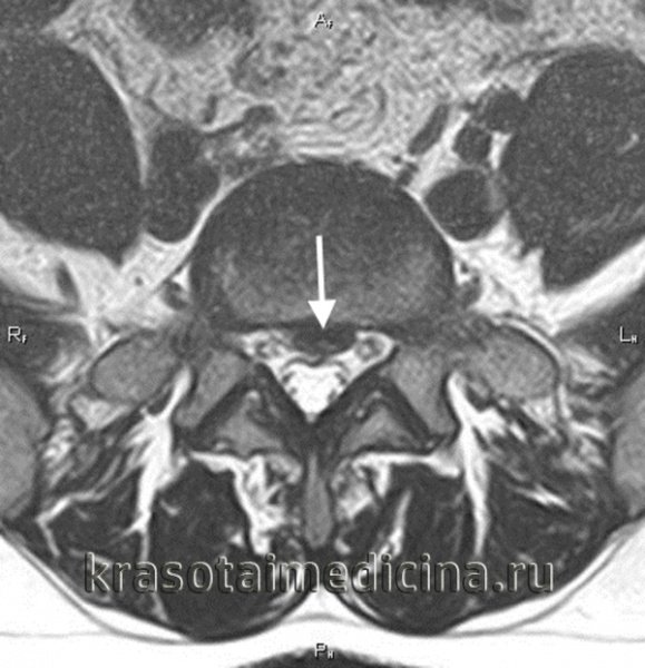
Тут, друзі, все трохи складніше, ніж просто біль у спині. Діагностика корінцевого синдрому включає в себе різноманітні методи обстеження. Тут є і МРТ, і КТ, і навіть простий рентген. Але іноді все починається зі звичайної бесіди з лікарем і перевірки рефлексів.
Головні причини:
- Грижа диска: Це, мабуть, найочевидніша причина. Часто, коли диск виштовхнутий за межі своєї оболонки, нерв стає заклиненим.
- Спондилоз: Ви чули коли-небудь це слово? Це старіння хребта, яке вимітає таку проблему на поверхню.
- Травми: Автомобільні аварії або інші травми можуть бути тригером.
- Остеофіти: Ці кісткові утворення можуть тиснути на нерви.
Лікування корінцевого синдрому та профілактика
Включає в себе комплекс процедур. Для початку зменшення болю. Наприклад, можна порятуватися за допомогою протизапальних препаратів або фізіотерапії. Це не панацея, але допомагає. Однак якщо все зовсім погано, лікар може рекомендувати операцію. Іноді немає іншого виходу. Але більшість випадків можна обходити менш радикальними методами.
Що можна зробити самостійно?
- Зміна способу життя: Виконуйте вправи для зміцнення спини.
- Правильне харчування: Вживання продуктів, багатих на вітаміни та мінерали, може допомогти у швидшому відновленні.
- Регулярні перевірки: Вони важливі для тих, хто вже мав проблеми з хребтом.
Профілактика — краще, ніж лікування
Як у старій приказці, попередити легше, ніж лікувати. Так і з корінцевим синдромом. Бережіть спину, не носіть важкого без потреби, слідкуйте за правильною поставою. Ваш організм буде вам вдячний.
Висновки
Корінцевий синдром поперекового відділу хребта — це те, чого краще уникати. Але якщо вже сталося, не відкладай візиту до лікаря. Чим швидше розпочнеться лікування, тим кращими будуть результати. Бережіть себе і будьте уважні до своїх симптомів, адже здоров’я — це наш найбільший скарб. І пам’ятайте, що навіть малі зміни у вашому способі життя можуть мати великий вплив на стан вашого здоров’я.












