
Синдром полікістозних яєчників: симптоми і особливості
Синдром полікістозних яєчників — це невидима проблема, яка може вдарити по здоров’ю жінки в абсолютно несподіваний момент. Для багатьох жінок, які з цим стикаються, запитання завжди залишається те саме: що це таке і які його симптоми?
Що таке синдром полікістозних яєчників?
Полікістозні яєчники (СПКЯ) — це гормональний розлад, який вражає близько 10% жінок у репродуктивному віці. Тільки уявіть собі: цей синдром є причиною порушень овуляції, які можуть завадити вам досягти материнства.
Ключові симптоми СПКЯ
- Нерегулярний менструальний цикл: це, мабуть, найпоширеніший симптом. Місячні можуть бути відсутніми кілька місяців або ж, навпаки, з’являтися занадто часто.
- Гірсутизм: поява зайвого волосся на обличчі, грудях, спині — ніхто не готовий до такого сюрпризу.
- Акне і жирна шкіра: дратуючий висип і блиск можуть нагадувати підлітковий вік.
- Прибавка у вазі: частина жінок зауважують стрімкий набір ваги.
- Безпліддя: один із найболісніших аспектів для тих, хто мріє про малюка.
Що стоїть за цими симптомами?
Ще одна неприємність — безліч причин, що викликають ці симптоми. В основі лежить гормональний дисбаланс, зокрема надмірне вироблення андрогенів («чоловічих» гормонів), яке блокує нормальну овуляцію. Також не слід забувати про інсулінорезистентність: багато хто навіть не здогадується, що це має до СПКЯ стосунок.
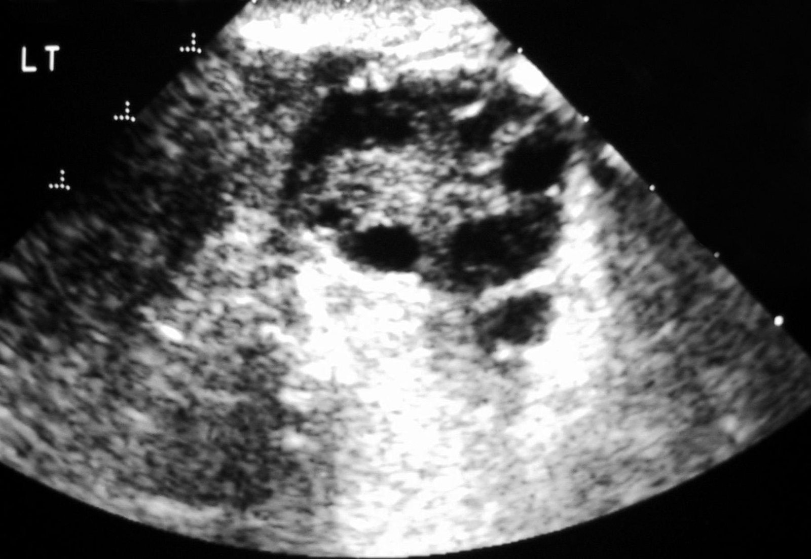
Як діагностувати СПКЯ
- Загальний огляд: лікар розгляне вашу медичну історію і симптоми.
- Гормональні аналізи: визначають рівені гормонів у крові.
- Ультразвукове обстеження: щоб побачити наявність кіст на яєчниках.
Лікування СПКЯ: від зміни способу життя до медикаментів
Варіанти лікування зазвичай залежать від ваших основних симптомів і досягнення певних цілей, таких як фертильність або контроль ваги. Давайте розглянемо:
- Зміни у способі життя: фізична активність і правильне харчування часто допомагають знизити симптоми. Зменшення ваги навіть на 5% може суттєво покращити ситуацію.
- Медикаментозне лікування: гормональні контрацептиви можуть врегулювати менструальний цикл, а ліки для зниження рівня інсуліну — поліпшити овуляцію.
Висновок: знайдіть свій шлях до здоров’я
СПКЯ може здаватися страшним монстром, але це не означає, що ви повинні з ним миритись. Зі своєчасною діагностикою і правильним підходом можна контролювати симптоми і жити повноцінним життям. Не бійтеся звертатися до лікаря, якщо щось турбує — від цього залежить ваше здоров’я.












