
- Синдром Маклеода: що це і як з ним жити?
- Розуміння та природа синдрому Маклеода
- Що таке синдром Маклеода?
- Симптоми та прояви
- Анатомічні зміни
- Причини та фактори ризику
- Вроджені чи набуті фактори
- Середекулярний фактор ризику
- Діагностика та обстеження
- Обстеження рентгеном та КТ
- Функціональне дослідження легенів
- Лікування та управління
- Медикаменти та інші методи лікування
- Рекомендації щодо способу життя
- Міфологія та правильне уявлення
- Подолання суспільних упереджень
- Підтримка та поради для пацієнтів
- Онлайн та офлайн спільноти
Синдром Маклеода: що це і як з ним жити?
Синдром Маклеода — один з тих загадкових медичних станів, що іноді залишають навіть лікарів в омані. Але що це таке? І, головне, як це впливає на життя людини?
Розуміння та природа синдрому Маклеода

Це не просто складний термін. Це рідкісний легеневий розлад, який іноді спричиняє хаос у нашому організмі. Давайте зануримося в його природу і дізнаємось більше.
Що таке синдром Маклеода?
Іноді краще не знати. Але якщо ви все ж таки захочете… Синдром Маклеода або синдром свого роду аномальна дифузія в легеневій тканині. Йдеться про те, що одна легеня (або частина однієї) не функціонує належним чином через порушення повітряного обміну.
Симптоми та прояви
Так, це може бути важко помітити – особливо на початкових етапах. Тиша, що виражається у нестачі дихання, стук у грудях, або іноді «задишка з нізвідки». Все це може бути передвісником.
- Задишка під час вправ та в спокої
- Часта втома
- Хронічний кашель, що дратує
- Дискомфорт у грудях
Анатомічні зміни
Зміни в легенях насправді фокус цього синдрому. Відомо, що певна частина легені втрачає свою звичну архітектуру. Іноді це виглядає як зроблено спеціально… але ні. Нефункціональний простір, що займає пожежний слід у легенях.
Причини та фактори ризику
Тепер поговоримо про те, чому це відбувається. Звідки беруться його коріння? А хіба не всі ми в глибині душі хочемо знати відповіді на базові питання?
Вроджені чи набуті фактори
Ця загадка починається ще з дитинства. Деякі припускають, що синдром Маклеода може бути вродженим. Однак є й ті, хто вважає, що певні зовнішні фактори теж можуть мати вплив.
- Інфекції під час дитячого віку
- Пошкодження легенів
- Навколишнє середовище та спосіб життя
Середекулярний фактор ризику
Генетичний код. Інколи він діє більше, ніж ми думаємо. Наслідки передаються, і ми навіть не підозрюємо. Звучить як сюжет фільму, правда ж?
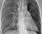
Діагностика та обстеження
Зазвичай лікарі звертають увагу на скарги пацієнта та шукають щось дивне у рентгенівських знімках. Діагностика цього синдрому — процес, коли синтезуєш інформацію з працею детектива Шерлока Холмса.
Обстеження рентгеном та КТ
Простіше кажучи, без цих технологій лікарям було б як без рук. Виявлення змін у легенях просто неможливо без допомоги обладнання. Дивовижно, як ми вміємо бачити людину зсередини, чи не так?
Функціональне дослідження легенів
Проблема часто криється у здібності легенів ефективно функціонувати. Втрачена форма та об’єм — ось у чому виявляється справжня сутність синдрому Маклеода.
Лікування та управління
І тут ми стикаємося з питанням: як взагалі жити з цим? Лікування синдрому Маклеода не завжди прямолінійне, але деякі речі можуть полегшити ситуацію.
Медикаменти та інші методи лікування
Може, таблетки не завжди вирішують все. Але вони часто рятують життя. Іноді це антибактеріальна терапія, іноді кортикостероїди. Далі — до більш технічних підходів, як бронхоскопія.
Рекомендації щодо способу життя
Ви коли-небудь думали, що зміни в житті можуть перевернути все догори дригом? Важливо уникати паління та вдихання шкідливих речовин. Тут вже без філософії.
- Регулярні перевірки стану легенів
- Відмова від шкідливих звичок
- Практика дихальних вправ
Міфологія та правильне уявлення
Оце вже весела гра слів і понять… Синдром Маклеода нерідко стає жертвою міфів. Цьому сприяють відсутність достатньої інформації та сама назва, що нагадує казковий персонаж. Хутко порушимо ці міфи!
Подолання суспільних упереджень
Іноді найскладніше — це пояснити оточуючим. Зрозуміти відхилення у здоров’ї не кожен може. Заклик до суспільства: не відвертайтеся, а спробуйте заглянути глибше…
Підтримка та поради для пацієнтів
Звісно, є місця, де можна завжди знайти підтримку — це спільноти для тих, хто стикається з такою ж проблемою. І хоча здається, ніби ти сам у цьому світі, насправді то не так!
Онлайн та офлайн спільноти
Інтернет, як дивний звір, може стати найкращим другом. Чат-кімнати, форуми та групи у соцмережах — там знайдуться ті, хто розуміє.
На завершення хочу сказати, що життя з синдромом Маклеода — це не кінець світу. За інформацією, підтримкою та своєчасним втручанням можна провести чимало хороших років. Не вірите? Спробуйте подивитися! Зрозумієте, що головне — не здаватися, а йти вперед.












